小児矯正では4歳くらいから永久歯が生え変わる12歳くらいまでのお子様が対象です。子供のうちに矯正治療を始めておけば小さな治療で綺麗な歯並びに整えることが可能です。
不正咬合を放置したままでいると、虫歯や歯周病のリスクが高くなります。また頭痛や肩こり、身体のゆがみなど、健康面にもさまざまな悪影響をもたらすことがあります。子供の矯正について詳しく知りたい方はお気軽にご相談下さい。

小児矯正では4歳くらいから永久歯が生え変わる12歳くらいまでのお子様が対象です。子供のうちに矯正治療を始めておけば小さな治療で綺麗な歯並びに整えることが可能です。
不正咬合を放置したままでいると、虫歯や歯周病のリスクが高くなります。また頭痛や肩こり、身体のゆがみなど、健康面にもさまざまな悪影響をもたらすことがあります。子供の矯正について詳しく知りたい方はお気軽にご相談下さい。
SH療法は、取り外し可能な装置を使用して顎の幅を広げる矯正治療法です。この方法は、特に狭い顎や歯並びの不正を改善するために用いられます。SH療法の主な特徴は以下に挙げられます。
✔装置は取り外しが可能
✔1日8時間程度の装着で効果が得られます
✔小さな力で徐々に顎を広げるため、痛みがほとんどありません
✔抜歯する必要がありません
SH療法は、特に顎の成長を促進し、自然な歯並びを実現するための効果的な治療法です。
マイオブレース・システムは、早期予防矯正治療で、悪い歯並びの根本的原因に働きかけることを目的としています。ほとんどの場合、抜歯やブラケット矯正を行わずに自然な成長と発達を実現します。
治療に最適な年齢は3~15歳で、口内に装着する取り外し可能な一連の器具を1日1時間と夜間就寝中に装着します。
✔間違った口腔習癖を改善する
✔顎の発達や位置を改善する
✔歯並びを改善する
✔顔の骨格の最適な発達を促す
✔健康改善
✔健康な食習慣を促す
小児の大事な時期こそ「プレオルソ」です!
10歳ぐらいまでの骨の柔らかい時期に使うことで、大きな効果を期待できる治療方法です。「家にいるとき」と「寝ているとき」にだけプレオルソを装着するため、お子さまでも無理なく始められます。
✔歯並び
✔口呼吸
✔咬み合わせ
✔お口ポカン
永久歯に生え変わってからでは、1つ1つの歯に固定式の矯正装置をつけてワイヤーで歯を並べる、いわゆる「本格矯正」になりますが、小児(10歳ごろまで)の骨の柔らかい時期に始めることで効果が出やすい矯正方法です。80年以上も前から使われつづけている「機能的顎矯正装置」を新素材のマウスピースに改良した矯正方法です。
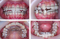
拡大床 (かくだいしょう)は、歯列の横幅(歯列弓)を横に広げたり、数歯の移動を目的とした装置です。
装置の中央には、「拡大ネジ」とよばれるネジがあります。このネジの幅を広げる力を加えることで、歯の土台となる歯槽骨を側方に押し広げる構造です。
拡大床による矯正は主に6~8歳くらいにかけて行う矯正治療です。

実際の拡大床を装着したお口の中の様子です。

![]()

治療についての詳しい説明
上記の写真のような拡大床(シュワルツの装置)を使い週に1回45℃~90℃装置中央にあるネジをまわしていき 歯を並べるスペースを増やす治療です。6歳~8歳くらいまでが一番適用な時期で1年~1年半かけて拡げてその後、後戻りしないように保定をする。
リスク
過度に拡大すると頬側の骨が薄くなる可能性がある。後戻りがする。途中で通院が途切れると変な状態になる可能性がある。あくまでスペース不足を解消する為の装置なので理想的なアーチにはならない2期治療が必要になるケースもある。
副作用
一時的に痛みがでる可能性がある。
費用
・下のみの拡大の場合:9万円(税抜き)
・上下の場合:15万円(税抜き)
※追加装置1個につき3万円かかる
その後の状態に応じて追加の装置が必要になる場合もあります。